Die tierische Trypanosomiasis, auch bekannt als Nagana, ist eine Erkrankung nicht-menschlicher Wirbeltiere. Sie wird durch Trypanosomen verschiedener Arten der Gattung Trypanosoma verursacht, darunter T. brucei (der auch Menschen infiziert und die Afrikanische Schlafkrankheit auslöst), T. vivax (der vorwiegend in Subsahara-Afrika Nagana bei Nutztieren verursacht, sich aber auch nach Südamerika ausgebreitet hat), T. congolense und T. simiae. Die Trypanosomen infizieren das Blut des Wirtstieres und verursachen Fieber, Schwäche und Lethargie, die zu Gewichtsverlust und Anämie führen. Unbehandelt verläuft die Krankheit bei manchen Tieren tödlich. In Subsahara-Afrika werden Trypanosomen durch Tsetsefliegen übertragen, die in mehr als 35 Ländern vorkommen.
Ein interessantes Merkmal ist die bemerkenswerte Toleranz einiger Rinderrassen gegenüber der Nagana-Krankheit, insbesondere der N’Dama – einer westafrikanischen Bos taurus-Rasse. Dies steht im Gegensatz zur Anfälligkeit ostafrikanischer B. indicus-Rinder wie beispielsweise des Zebus.

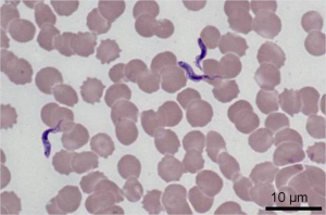
Trypanosoma congolense in Hundeblut (Jack-Yves Deschamps, Marc Desquesnes, Laetitia Dorso, Sophie Ravel, Géraldine Bossard, Morgane Charbonneau, Annabelle Garand and Françoise A. Roux)
Die meisten Trypanosomen entwickeln sich in Tsetsefliegen (Glossina spp.), ihren biologischen Vektoren, innerhalb von ein bis wenigen Wochen. Beim Stich einer infizierten Tsetsefliege werden die Parasiten über ihren Speichel übertragen. Die Verbreitung kann auch durch kontaminierte Gegenstände wie chirurgische Instrumente, Nadeln und Spritzen erfolgen. Als wichtigste Vektoren neben Glossina gelten Bremsen der Gattung Tabanidae und Fliegen der Gattung Stomoxys-
Die Immunantwort von Tieren kann die Trypanosomen unter Umständen nicht vollständig eliminieren, sodass der Wirt zu einem asymptomatischen Träger wird. Diese asymptomatischen Infektionen können bei Stress reaktiviert werden. Auch eine transplazentare Übertragung ist möglich.
Die Übertragung konnte auf Sansibar durch die Sterile-Insekten-Technik (SIT) mit dem Vektor Glossina austeni erfolgreich gestoppt werden.
Anzeichen und Symptome: Die Inkubationszeit beträgt vier Tage bis etwa acht Wochen. Die Infektion führt zu erheblichem Gewichtsverlust und Anämie. Es treten verschiedene Symptome auf, darunter Fieber, Ödeme, Lymphknotenentzündung, Hautentzündung und Nervenstörungen. Die Erkrankung kann nur durch den mikroskopischen Nachweis von Parasiten im Blut oder durch verschiedene serologische Tests sicher diagnostiziert werden.
Trypanozide Antiparasitika sind in Afrika das wichtigste Mittel zur Bekämpfung der tierischen Trypanosomiasis. Einige Medikamente können die Krankheit verhindern und werden daher als Prophylaxe bezeichnet. Diese können Tiere während Zeiten erhöhter Krankheitsbelastung sehr wirksam schützen. In der Vergangenheit wurden diese Medikamente jedoch nicht immer sachgemäß angewendet, was zu Resistenzen führte. Tsetsefliegenpopulationen lassen sich durch Fallen und Insektizide reduzieren oder eliminieren. Der Lebensraum der Tsetsefliege kann durch Vegetationsveränderungen zerstört werden, obwohl diese Methode aus Umweltschutzgründen nicht mehr gezielt angewendet wird. In den meisten Regionen wird ein integrierter, gemeinschaftsbasierter Ansatz zur Bekämpfung der tierischen Trypanosomiasis empfohlen. Dabei wird die Bekämpfung der Überträger mit dem gezielten Einsatz von Medikamenten unter der Gesamtleitung und Aufsicht der nationalen Veterinärdienste kombiniert.
Wasserböcke produzieren, wie auch andere Tiere, chemische Duftstoffe, die Tsetsefliegen abwehren. Dies führte zur Entwicklung von Halsbändern, die diese Chemikalien speichern und nach und nach freisetzen. Dadurch wird der Befall durch Tsetsefliegen und somit die Häufigkeit von Trypanosomiasis bei Rindern, die diese Halsbänder tragen, reduziert.
Obwohl der Verlust direkter Tierprodukte (Fleisch, Milch und Blut) problematisch ist, besteht die größte Auswirkung der Nagana bei Nutztieren im Ertragsverlust durch den Verlust der Zugkraft der Tiere auf dem Feld.
Wie bei anderen Infektionskrankheiten wird der Klimawandel Auswirkungen auf die Verbreitung und das Übertragungsrisiko der tierischen Trypanosomiasis haben. Ob es jedoch zu einer Abnahme oder Zunahme der tierischen Trypanosomiasis kommt, hängt von der geografischen Region, den krankheitsübertragenden Tierarten, dem jeweiligen Klimawandelszenario und vielen anderen Faktoren ab.



