Mücken, Plasmodien und Malaria

Histopathology_of_malaria_exoerythrocytic_forms_in_liver_07G0024_lores

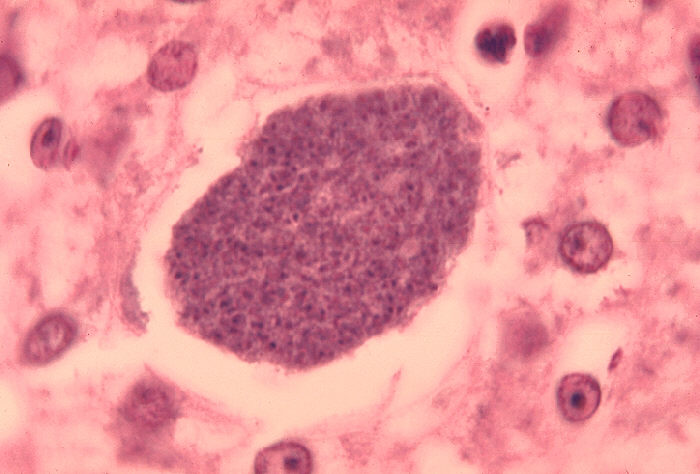
Histopathologie der exoerythrozytären Form eines Plasmodium-Parasiten in der Leber (CDC)

Setze ein Lesezeichen auf den Permalink.

Schreibe einen Kommentar

Deine E-Mail-Adresse wird nicht veröffentlicht. Erforderliche Felder sind mit * markiert