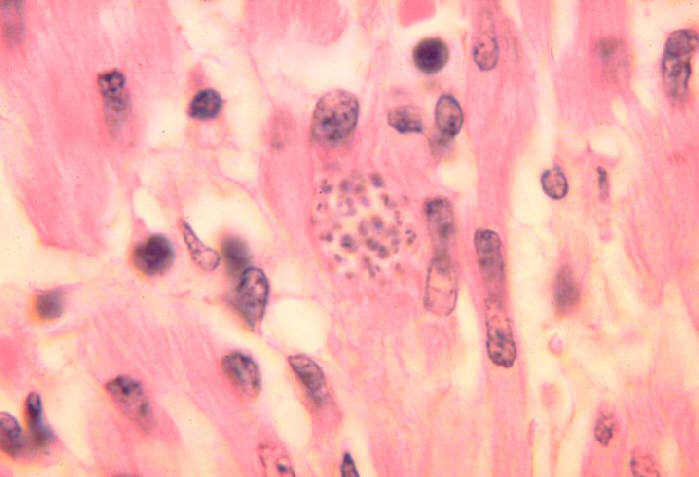
Trypanosoma cruzi und die Chagas-Krankheit

Trypanosoma cruzi_(CDC/ Dr. L.L. Moore, Jr.)

Trypanosoma cruzi_(CDC/ Dr. L.L. Moore, Jr.)

Trypanosoma cruzi_(CDC/ Dr. L.L. Moore, Jr.)

Setze ein Lesezeichen auf den Permalink.

Schreibe einen Kommentar

Deine E-Mail-Adresse wird nicht veröffentlicht. Erforderliche Felder sind mit * markiert